
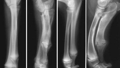
Condrodisplasia en dálmatas, últimos hallazgos
Las displasias esqueléticas abarcan un grupo diverso de trastornos genéticos caracterizados por baja estatura y enanismo. En humanos, se han documentado 771 tipos de displasia esquelética. También se han observado formas similares de estos trastornos en perros.
[Leer artículo completo...]















