Nueva mutación responsable de enanismo identificada en perros

El grupo de investigación del profesor Hannes Lohi -Universidad de Helsinki-, y el Centro de Investigación Folkhälsan, han identificado una mutación en el gen ITGA10, causando condrodisplasia en dos razas de perros, el elkhound noruego y el perro cazador de osos de Carelia. La investigación reveló un nuevo gen interviniente en la condrodisplasia en los perros, y un gen candidato para la condrodisplasia en humanos. El hallazgo tiene implicaciones en la biología ósea, así como en la salud canina. Ahora ya se puede utilizar una prueba genética para identificar los perros portadores de mutaciones en las dos razas de perros afectados.
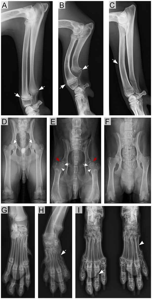
La mutación ITGA10, autosómica recesiva, causa un desproporcionado enanismo y alteraciones en la estatura de diversa gravedad. La apariencia de los perros afectados se caracteriza por extremidades considerablemente más cortas que las de los perros normales. Otras anomalías esqueléticas pueden acompañar a estas deformidades, incluyendo antebrazos arqueadas, dedos anormales, y cabezas femorales malformadas.
Los códigos de los genes ITGA10 ensamblan en un receptor de colágeno específico del cartílago que se encuentra en las placas de crecimiento de los huesos largos. El receptor es muy importante para el proceso de osificación endocondral, en el que las células de cartílago proliferan primero, y entonces se reemplazan por el tejido óseo. En consecuencia, se han encontrado varias anomalías en las placas de crecimiento de los perros afectados tanto en exámenes radiográficos como histológicos.
La mutación del receptor de colágeno provoca trastornos del crecimiento
La mutación causal se asigna a una región específica en el cromosoma canino 17 mediante la comparación entre los genomas de los perros afectados y los que no tienen la enfermedad. Un análisis más detallado de esta región cromosómica reveló un solo cambio de nucleótido en el gen ITGA10, que interrumpe el gen mediante la introducción de la señal que termina prematuramente la producción de la subunidad de integrina codificada. «La integrina subunidad de longitud nunca se forma, y por lo tanto, no hay receptores funcionales en las placas de crecimiento de los perros afectados. Esto provoca las alteraciones de crecimiento», explica el profesor Lohi, y continúa «Anteriormente se han encontrado claras mutaciones del colágeno en diferentes trastornos del crecimiento, pero esto es sólo el segundo receptor de colágeno, que se ha relacionado con la condrodisplasia heredada. Nuestro modelo de enfermedad canina ofrece nuevas posibilidades para estudiar la biología del crecimiento».
Los resultados del estudio pueden tener también implicaciones para la medicina humana. «Los seres humanos también sufren de diferentes tipos de condrodisplasia heredada, y el gen ITGA10 podría representar un gen candidato para algunos de estos trastornos que todavía tienen una causa genética desconocida», dice Kaisa Kyöstilä, el primer autor del artículo. «Ya hemos iniciado el cribado de pacientes humanos con mutaciones en el gen», añade.
[pullquote]Ya se puede reconocer a los perros portadores de mutaciones, y a largo plazo, el objetivo es erradicar la mutación y la enfermedad de estas dos razas[/pullquote]
Una prueba genética reconocerá a los perros portadores de mutación
La condrodisplasia canina estudiada fue descrita inicialmente en elkhounds en la década de 1980, y el presente estudio identifica un problema equivalente en el perro cazador de osos de Carelia. «Ambas razas se han beneficiado de una prueba genética que ya está disponible para los propietarios de perros», dice el profesor Lohi. «La prueba se utiliza para reconocer a los portadores de mutaciones, y a largo plazo, el objetivo es erradicar la mutación y la enfermedad de estas dos razas», concluye.









