Las displasias esqueléticas abarcan un grupo diverso de trastornos genéticos caracterizados por baja estatura y enanismo

En humanos, se han documentado 771 tipos de displasia esquelética. También se han observado formas similares de estos trastornos en perros.
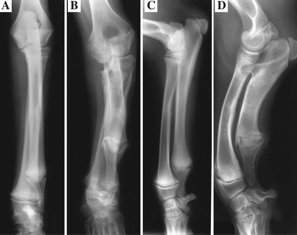
Los primeros casos de displasia esquelética documentados en perros dálmatas se reportaron a principios de la década de 1980, y en años posteriores se observaron más perros afectados.
Exámenes radiológicos e histopatológicos exhaustivos realizados en aquel momento revelaron graves deformidades en las extremidades, incluyendo radios y cúbitos acortados, placas de crecimiento irregulares y osificación endocondral alterada.
En este estudio, se aplicó la secuenciación del genoma completo a muestras recolectadas en 1992 e identificaron una variante genética en el gen PRKG2 que introduce un codón de terminación prematuro (XM_038582312: c.1601T > G, p.L534X).
Las variantes genéticas del PRKG2 se han relacionado previamente con la displasia acromesomélica humana, un trastorno que afecta el crecimiento de las extremidades en niños pequeños.
La proteína codificada por PRKG2 desempeña un papel crucial en la osificación endocondral
Si se traduce, la variante sin sentido identificada resultaría en una proteína truncada que carece de la mayor parte del dominio catalítico.
Un análisis exhaustivo de la variante genética reveló su continua segregación en la población dálmata actual.
Además, se descubrió que tres casos recientes de enanismo en dálmatas eran homocigotos para la variante sin sentido identificada de PRKG2 .
Estos hallazgos proporcionan evidencia convincente del papel de PRKG2 en el enanismo dálmata, resolviendo un misterio genético de décadas de antigüedad en la raza.
Más información: Estudio completo.








