
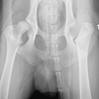
Cuidado: Puedes estar provocando displasia a tu cachorro
Un porcentaje importante de las displasias (de codo y cadera) se pueden evitar. Tienen mucho que ver las circunstancias ambientales, te detallamos las dos más importantes.
[Leer artículo completo...]




